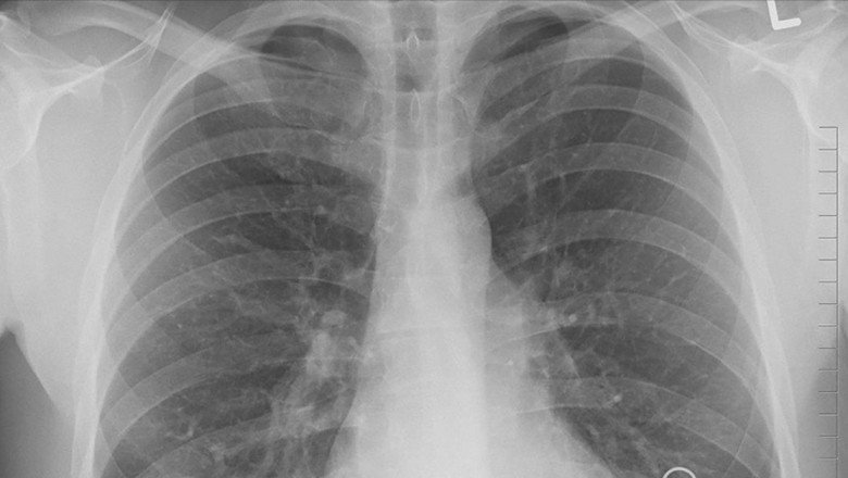
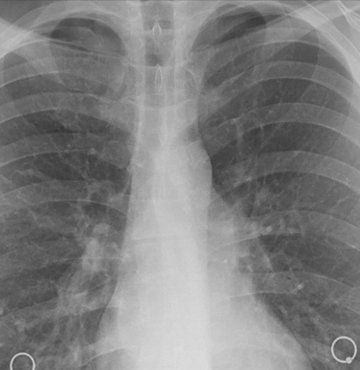
Türkiye'de yılda 35 bin kişi akciğer kanseri tanısı alıyor
Türkiye'de yılda 35 bin kişi akciğer kanseri tanısı alıyor
Haberin detayları için tıklayınız
Türk Toraks Derneği Genel Başkanı Prof. Dr. İtil, TürkiyeTürk Toraks Derneği Genel Başkanı Prof. Dr. İtil, Türkiye'de yılda 35 bin kişinin akciğer kanseri tanısı aldığına dikkati çekerek "Ülkemiz, erkeklerde 100 bin kişide 41,7 oranı ile dünyada akciğer kanserinin en çok saptandığı ülkelerden biri" dedi

Bu İçeriğe Tepki Ver (en fazla 3 tepki)

Yorumlar

https://www.blog.delitavsan.com/assets/images/user-avatar-s.jpg

0 comment

Write the first comment for this!

Facebook Yorumları